Dental Implants Lubbock
Elevated Implant Dentistry by a
Board-Certified Prosthodontist
- Immediate implants available in most cases—no second surgery needed
- All-on-4® full-arch restorations performed in-house
- Comprehensive care from planning to restoration, all under one roof
- Advanced technology, including photogrammetry and digital imaging

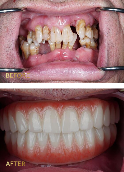
A Life-Changing
Implant Journey
This patient received full-arch All-on-4 implants that restored his ability to chew, speak, and smile with total confidence. The transformation was planned, placed, and restored entirely under one roof.



The Confidence You Want Behind Every Implant
"To me, prosthodontics is true dentistry. Prosthodontists are the quarterbacks of the dental team. Everything starts with the prosthodontist to guide specialities. I haven’t had a case where I don’t know what to do. I feel confident I can handle any case that comes through my door.”
— Dr. Mohaad Faraj
Ready to Work With a True Specialist?
Contact Our Lubbock Practice Today
Dr. Faraj’s journey started on a small farm in Syria. He moved to the U.S. at 14, learned a new language, and found his calling in dentistry. He’s now a specialist who teaches other dentists, leads with empathy, and delivers life-changing results through artistry and precision.
- Fellowship-trained in surgical and conventional prosthodontics
- Earned dual degrees: DMD and Master of Dental Sciences from UConn
- Served as Chief Resident and later as Clinical Compliance Officer at UConn
- Winner of the Hanau “Best of the Best” Prosthodontic Award
- Offers IV sedation through a medical anesthesiologist for patient comfort
Whether you need a single implant or a full-arch restoration, Dr. Faraj combines advanced training, cutting-edge tech, and handcrafted prosthetics to deliver exceptional results, all under one roof.
Transparent Pricing and Flexible Payment Options
We believe in delivering world-class outcomes, and that includes clear, honest pricing. As a fee-for-service practice, we’re not in-network with insurance providers. This allows us to prioritize quality, customization, and long-term success in every case.
Starting at:
- Single Dental Implants – from $5,000
- Snap-On Dentures – from $7,500
- All-on-4® Full-Arch Restorations – from $27,000
These fees reflect comprehensive, specialist-led treatment—including digital planning, high-end materials, and lab-crafted restorations.
Financing Available
To help make care accessible, we offer multiple financing options. We’re in the process of partnering with leading patient lenders like CareCredit®, Cherry®, and Proceed Finance®. In the meantime, the team at our Lubbock practice will walk you through all available plans to help you move forward with confidence.
Full-Arch Restorations
That Redefine What’s Possible
For patients with widespread tooth loss or severely damaged teeth, All-on-4® dental implants offer a life-changing solution. Using just four implants per arch, this technique supports a full set of fixed, natural-looking teeth without the need for bone grafting or removable dentures.
Dr. Faraj personally plans and performs each case using photogrammetry scanners, digital smile design, and in-house 3D printing. Your final smile is crafted by elite-level ceramists and designed to function beautifully for years to come.


Our Tech Makes Every Step Precise and Comfortable
Technology isn’t just an add-on for our Lubbock clinic; it’s the backbone of every case. From surgical planning to final restoration, Dr. Faraj integrates advanced digital tools to control quality, reduce chair time, and enhance long-term outcomes.
- Cone Beam CT imaging ensures precise diagnostics with minimal radiation
- Intraoral scanning replaces traditional impressions for faster, cleaner, and more comfortable care
- Photogrammetry scanners capture micron-level detail for full-arch restorations
- Exocad and 3Shape software guide implant placement based on both anatomy and esthetics
- In-house 3D printing allows for same-day surgical guides and provisional prosthetics
- Digital smile design aligns every step to your final aesthetic goals
Every tool is selected with purpose—not just for innovation’s sake, but to ensure your implant experience is faster, smoother, and built to last.
Frequently Asked Questions
How does prosthodontic training help with dental implants?
Prosthodontists specialize in restoring and replacing teeth, and that includes planning and designing implant-supported smiles. Dr. Faraj completed years of advanced training focused on complex cases like full-arch restorations and smile makeovers. His background means you’re getting a restoration designed for beauty, comfort, and long-term function.
What if I have gum disease or other dental issues?
That’s okay. Many patients need a little preparation before they’re ready for implants. If you have gum disease, bone loss, or other concerns, Dr. Faraj will develop a personalized treatment plan to restore your oral health first. Once you’re stable, we can move forward with implants safely and successfully.
How long do dental implants last?
Dental implants are designed to be a long-term solution. With proper care, including good oral hygiene and regular checkups, most implants last 20 years or more. The key to longevity is maintaining healthy gums and avoiding habits like smoking or teeth grinding. At Élevé Dental, we design every implant restoration with durability and long-term success in mind.







